سويت فينير وندمت!! كثير ما نقرأ مثل هذه الجمل ولكن كانت تجربتي مع عدسات الأسنان بدون نحت في داون تاون من التجارب التي غيرت مظهري وثقتي بنفسي بشكل ملحوظ. لطالما حلمت بابتسامة مشرقة ومتناسقة، ومع مرور الوقت قررت أن أخطو هذه الخطوة وأجرب تقنية العدسات التجميلية التي أصبح الكثيرون يلجأون إليها للحصول على ابتسامة هوليوود. منذ اللحظة الأولى شعرت بالحماس والفضول لمعرفة النتيجة، ولم أكن أتوقع أن هذا الإجراء البسيط سيحدث مثل هذا التحول الكبير في شكل ابتسامتي.
وفي هذه المقالة، سأشارككم تفاصيل تجربتي مع عدسات الأسنان قبل وبعد، من مرحلة القرار وحتى النتيجة النهائية التي جعلتني أبتسم بثقة كل يوم.
بداية تجربتي مع عدسات الأسنان بدون نحت
بدأت تجربتي بدافع الرغبة في تحسين شكل ابتسامتي وزيادة ثقتي بنفسي. كنت ألاحظ بعض العيوب البسيطة في أسناني، مثل اللون غير المتجانس وصغر حجم بعض الأسنان الأمامية، مما جعلني أبحث عن حل تجميلي يمنحني مظهرًا طبيعيًا وجذابًا في الوقت نفسه.
وبعد بحث طويل وسؤال عدد من الأشخاص الذين خاضوا التجربة، قررت زيارة طبيب مختص في تجميل الأسنان؛ لمعرفة التفاصيل، ومن هنا بدأت تجربتي.
ما هي عدسات الأسنان؟
هي طبقات رقيقة بلون الأسنان تُثبّت على السطح الأمامي للأسنان لتحسين مظهرها. تُستخدم لعلاج مشكلات تجميلية مثل الأسنان المتشققة أو المكسورة أو متغيرة اللون، أو تلك التي تكون أصغر من الطبيعي.
تُصنع هذه العدسات من البورسلين أو مادة الراتنج المركب، وتُثبت بشكل دائم على الأسنان بعد تحضيرها بشكل دقيق.
وقد يحتاج بعض الأشخاص إلى قشرة واحدة فقط في حالة وجود سن مكسور أو متشقق، بينما يحتاج الكثيرون إلى ما بين ست إلى ثماني قشور للحصول على ابتسامة متناسقة وجذابة.
خطوات تجربتي مع تركيب عدسات الأسنان بدون نحت

مرت تجربتي مع عدسات الأسنان بعدة مراحل متتابعة حتى وصلت إلى النتيجة التي كنت أتمناها، وتتضمن هذه الخطوات ما يلي:
الاستشارة الأولى
بدأت الرحلة بزيارة طبيب تجميل الأسنان، حيث فحص أسناني بدقة وتحدث معي عن الشكل الذي أريده لابتسامتي. في هذه المرحلة شرح لي الطبيب الفرق بين أنواع عدسات الأسنان وأفضلها، وحدد النوع الأنسب لي.
تصميم العدسات
بعد ذلك أخذ الطبيب مقاسات دقيقة لأسناني باستخدام أدوات وتقنيات حديثة. ثم صمم لي الطبيب نموذجًا تجريبيًا للعدسات؛ لأرى شكلها المتوقع قبل التنفيذ الفعلي، وكانت فرصة ممتازة لتعديل أي تفاصيل في اللون أو الشكل.
تحضير الأسنان
في الجلسة التالية، قام الطبيب بإزالة طبقة رقيقة جدًا من سطح الأسنان؛ لتجهيزها لتركيب العدسات. كانت هذه الخطوة سريعة وغير مؤلمة بفضل التخدير الموضعي.
تجربة العدسات المؤقتة
تم تركيب عدسات مؤقتة لاختبار المظهر والإحساس الجديد بالابتسامة، حيث استمريتُ بها لبضعة أيام حتى أتأكد من راحتي التامة قبل تركيب العدسات الدائمة.
تركيب العدسات النهائية
وبعد الموافقة النهائية على الشكل واللون، تم لصق العدسات الأصلية بدقة عالية باستخدام مادة لاصقة خاصة؛ لأستمتع بتجربتي مع عدسات الأسنان، حيث بمجرد أن نظرت في المرآة، لاحظت الفرق الكبير في شكل ابتسامتي وجمال أسناني.
مرحلة المتابعة والعناية
بعد التركيب، زرت الطبيب مرة أخرى لفحص النتيجة النهائية والتأكد من ثبات العدسات. كما نصحني بالعناية الجيدة بالأسنان، وتجنب قضم الأطعمة الصلبة أو الملونة؛ للحفاظ على العدسات أطول فترة ممكنة.
مميزات تجربتي مع عدسات الأسنان بدون نحت
كانت تجربتي مع عدسات الأسنان تجربة مميزة حملت العديد من المميزات التي جعلتني راضيًا تمامًا عن النتيجة، ومنها ما يلي:
- تحسن كبير في شكل الابتسامة، حيث أصبحت أكثر بياضًا وتناسقًا وجاذبية.
- زيادة الثقة بالنفس عند التحدث أو الابتسام أمام الآخرين.
- تركيب سهل وغير مؤلم، ولم يستغرق وقتًا طويلًا في العيادة.
- مظهر طبيعي جدًا يشبه الأسنان الحقيقية دون مبالغة.
- مقاومة عالية للتصبغات الناتجة عن القهوة أو الأطعمة الملونة.
- راحة أثناء الأكل والكلام بعد فترة قصيرة من التأقلم.
- نتائج طويلة الأمد مع العناية الجيدة والنظافة المنتظمة.
عيوب تجربتي مع عدسات الأسنان بدون نحت
رغم أن تجربتي مع عدسات الأسنان كانت إيجابية بشكل عام، إلا أنني لاحظت بعض العيوب أو التحديات البسيطة التي واجهتني خلال التجربة ومنها ما يلي:
- ارتفاع التكلفة مقارنة بطرق تجميل الأسنان الأخرى مثل التبييض أو الحشوات التجميلية.
- الحاجة إلى تحضير الأسنان بإزالة طبقة رقيقة من المينا، وهو إجراء دائم لا يمكن التراجع عنه.
- حساسية بسيطة في البداية تجاه المشروبات الباردة أو الساخنة بعد التركيب، لكنها اختفت مع الوقت.
- صعوبة في التعديل لاحقًا، إذ لا يمكن تغيير لون أو شكل العدسات بعد تثبيتها إلا باستبدالها بالكامل.
- ضرورة العناية الفائقة للحفاظ عليها، مثل تجنب قضم الأطعمة الصلبة أو فتح الأشياء بالأسنان.
- إمكانية تلف العدسات في حال التعرض لضغط قوي أو إهمال العناية بها.
ورغم هذه العيوب البسيطة، أرى أن مميزات عدسات الأسنان تفوق سلبياتها، خاصة لمن يبحث عن ابتسامة جميلة ومظهر طبيعي يدوم لسنوات طويلة.
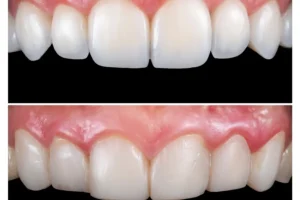
تجربتي مع عدسات الأسنان قبل وبعد

كانت تجربتي مذهلة حيث غيرت ابتسامتي بالكامل! قبل تركيب العدسات، كنت أشعر بعدم الثقة بابتسامتي بسبب اصفرار بسيط في الأسنان وبعض الفراغات الصغيرة، لكن بعد تركيب العدسات تغير كل شيء. أصبحت ابتسامتي أكثر إشراقًا وتناسقًا، وأسناني تبدو بيضاء طبيعية ولامعة.
لقد كان الفرق واضحًا من أول لحظة، لم أكن أتصور أن إجراء بسيط وسريع يمكن أن يمنحني هذا القدر من الثقة والجاذبية. اليوم أبتسم بثقة في كل صورة وكل لقاء، وأشعر أن عدسات الأسنان كانت الاستثمار الأفضل في نفسي ومظهري.
تجربتي مع عدسات الأسنان مع عيادات داون تاون
كانت تجربتي في عيادات داون تاون رائعة ومميزة! منذ البداية شعرت بالراحة من تعامل الفريق الطبي واحترافيتهم العالية. لقد شرح لي الطبيب كل التفاصيل واختار لي النوع الأنسب من العدسات. كانت عملية التركيب سريعة وغير مؤلمة، والنتيجة فاقت توقعاتي – ابتسامة ناصعة وبيضاء زادت ثقتي بنفسي. أكثر ما أعجبني هو دقة العمل والاهتمام بالتفاصيل.
تعرف على: أفضل دكتور تركيبات اسنان في جدة و أفضل أطباء تجميل الأسنان في الرياض
ما هو عنوان عيادات داون تاون أفضل عيادة عدسات الأسنان جدة والرياض؟
تقع عيادات داون تاون في العناوين التالية:
- فرع جدة: (2841 طريق الكورنيش، حي الشاطئ، جدة المملكة العربية السعودية)
- فرع الرياض: (3205 طريق الملك عبدالله، حي الورود، الرياض المملكة العربية السعودية)
لا تنتظر أكثر لتعيش تجربة ابتسامة الأحلام! احجز الآن موعدك في عيادات داون تاون واستمتع بابتسامة ناصعة وثقة لا تقاوم.
المصادر